Pes Planus
Tibialis posterior (TP) dysfunction is the most common cause of adult acquired flatfoot.
The true aetiology is likely to be multifactorial and the actual triggering pathology remains controversial.
Recently, there has been a move away from viewing failure of the tibialis posterior tendon as the primary cause of this condition. The term Progressive Collapsing Foot Deformity (PCFD) is being increasingly advocated.
Function
- TP is a powerful tendon arising from the posterior aspect of the interosseous membrane and adjacent tibia and fibula in the proximal one third of the leg
- It has a short excursion of 2cm, predisposing it to strain injuries
- It balances the hindfoot evertors (antagonistic to Peroneus Brevis)
- It is essentially a stance phase muscle, stabilising the mid-tarsal joints
- During push off, it adducts and locks the midfoot (Chopart joint) and inverts the subtalar joint; this allows the gastro-soleus complex to work maximally as a plantar flexor, shifting the line of pull of Tendo Achilles medially, enhancing its action
Pathophysiology
- Because of its limited excursion the tendon is vulnerable to injury during lengthening
- Injury can be acute or gradual (more common)
- TP dysfunction results in loss of power of hindfoot inversion
- In acute rupture:
- the longitudinal arch is initially maintained by static supports (spring ligament, medial talonavicular capsule, plantar fascia, interosseus talocalcaneal and plantar ligaments)
- due to the unopposed action of Peroneus Brevis and gastro-soleus complex pulling the talar head down, these secondary restraints eventually fail causing a collapse of the medial arch
- the hindfoot starts to drift into valgus and the forefoot into abduction
- gastro-soleus gradually becomes a hindfoot evertor, further exacerbating the deformity
- the deformity progresses as the talar head becomes increasingly uncovered by the navicular
- finally, the deltoid ligament may fail
- The valgus hindfoot alignment ultimately leads to shortening of the gastro-soleus complex
- Even though flatfoot is often associated with TP dysfunction, there is some controversy whether the association is causative or indeed whether the stretching of the tendon is secondary to an underlying deformity
Aetiology
- Acute trauma (e.g. direct laceration or medial malleolar fracture) can rupture the tendon
- Myerson noted a history of trauma in 14% of his series of mostly older people, compared to 50% in Funk’s series of mostly young patients
- Progressive microtrauma to the tendon is a more likely mechanism; this can result in inflammation, micro and eventually macro tears
- Tears typically occur along the longitudinal axis and not transversely; usually on the deep surface and must be explored during surgical debridement (Fig 1)
- The blood supply has also been implicated in the disease process; there is a relative hypovascular zone described at 14mm distal to the medial malleolus
- Reports have linked PT dysfunction with obesity, hypertension, older age, diabetes and steroid use, all involving a deterioration in blood supply to the tendon
- Inflammatory arthropathy has a high correlation with the development of PT dysfunction; Myerson described two groups:
- Younger patients aged 30-40 with inflammatory arthropathy
- Older, typically female patients 50-60 years old with degenerative tears

Figure 1: diseased hypertrophic TP tendon
History
- Pain and swelling behind and inferior to the medial malleolus
- Medial arch pain and aching
- Progressive flat foot (or ‘dropped arch’); ask the patient if the shape of their foot has changed and about change if footwear
- Prominence of the medial malleolus as the foot deviates
- Forefoot problems: progressive hallux valgus, metatarsalgia, lesser toe deformities
- Rarely, tarsal tunnel syndrome
- Ask about:
- diabetes, rheumatoid arthritis, osteoarthritis, previous trauma
- neurological and/or circulatory problems
- treatment so far
Examination
- Gait abnormality: look for inability to form rigid lever for toe-off
- Planovalgus foot: medial arch collapse and hindfoot valgus
- Feel for tenderness and/or swelling posterior to medial malleolar tip with no palpable tendon on resisted plantar flexion/inversion
- Double heel raise: see if heel valgus corrects to neutral (Figs 2,3)
- Single heel raise: ask patient to attempt repeated heel raises or to hold it for some time; may be able to do it once (or not at all) but not repeatedly
- Assess TP power against resistance (resisted inversion)
- Check for Tendo Achilles tightness (reduce heel to neutral for Silfverskiöld test)
- Check for persistent forefoot supination after correcting hindfoot to neutral (Figs 4,5)
- Quantify degree of forefoot abduction: "too many toes” sign (Fig 6)
- Assess for signs of secondary arthritis, esp. in hindfoot and ankle joints (joint tenderness, possible osteophytes, crepitus, reduced range of movement/ fixed deformity)

Figure 2: Normal hindfoot valgus corrects to varus on double leg heel raise


Figure 3: Pathological (and persistent) hindfoot valgus on double leg heel raise (left worse than right)

Figure 4. Forefoot supination unmasked after manual hindfoot correction

Figure 5. Forefoot supination is manually correctable to neutral

Figure 6. "Too many toes" sign; bilateral pathology (left side worse)
Differential diagnosis
- Longstanding idiopathic flat foot made symptomatic, usually by minor trauma
- Sequelae of other injuries e.g. Lisfranc fracture dislocation
- Congenital abnormalities including tarsal coalitions
- Midfoot arthritic collapse secondary to joint instability or destruction (OA or RA)
- Neuropathic foot collapse (Charcot)
Imaging
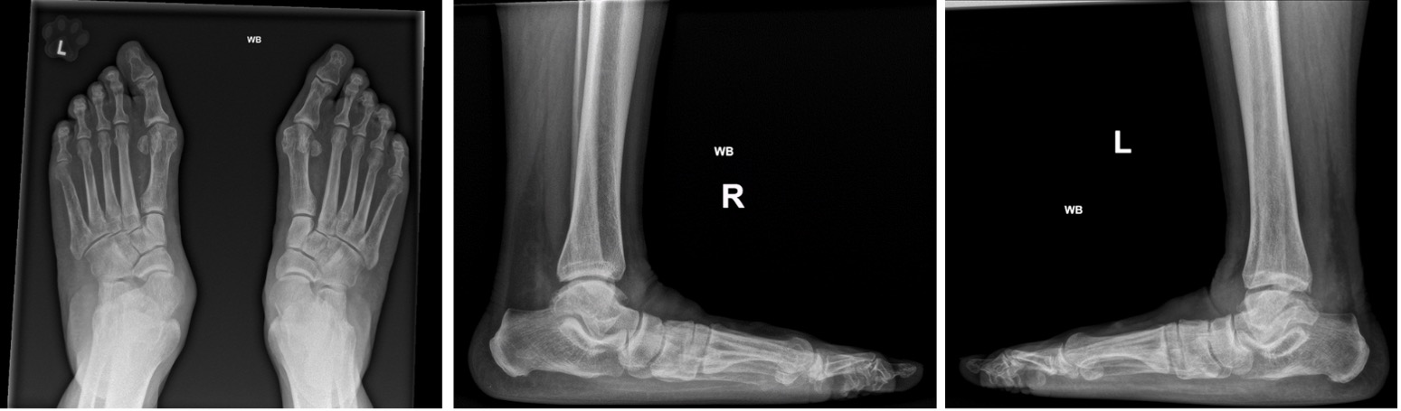
- Weightbearing AP and lateral, oblique foot radiographs (Fig 7); assess for:
- Talo-first-metatarsal alignment on AP and lateral (Meary’s angle)
- Apex of deformity
- Talonavicular coverage angle
- Calcaneal pitch angle
- Arthritic changes
- Other deformities (hallux valgus)
- Weightbearing AP and lateral ankle radiographs
- Assess for tibiotalar valgus deformity and arthritic changes
- Weightbearing hindfoot alignment view (optional) - to measure severity of valgus
- US scan
- Identify pathology or tear in tendon
- Dynamic assessment of gliding tendon
- To guide diagnostic / therapeutic injections
- CT scan
- For 3D assessment of deformity
- Assessment of joint arthritis (may change surgical plan)
- MRI scan
- best technique to confirm and quantify tendon pathology
- other pathology e.g. fibrous tarsal coalitions and soft tissue disorders
Clinical staging
Classification by Johnson & Strom (1989) describes findings and treatment
Stage II is divided into IIa and IIb depending on whether hindfoot corrects to neutral on single heel raise (mobile vs stiff subtalar joint)
Myerson further subclassified Stage II and added a stage IV when the ankle becomes involved; lateral joint wear and / or fracture of the fibula in extreme cases

Table 1: Modified Johnson & Strom classification

Figure 7: Standing AP, oblique and lateral showing talar head uncovering and loss of Meary’s angle (J&S Stage IIA disease)
Figure 8: Standing AP and lateral showing bilateral talar head uncovering and loss of Meary’s angle (J&S Stage IIB disease)
This classification does not consider malalignment between the forefoot and hindfoot. The differentiating point is between Stage II (flexible) and Stage III (rigid).
A further attempt at classification, with significant impact on decision making, is the Truro classification (Parsons et al., 2010). This is reproducible and considers a medial column correction as part of the management plan.
Stage 1 No deformity, or idiopathic bilateral flatfoot deformity
Stage 2a Progressive flatfoot deformity; fully passively correctible; forefoot varus <15°
Stage 2b Progressive flatfoot deformity; fully passively correctible; forefoot varus >15°
Stage 2c Progressive flatfoot deformity; hindfoot is fully passively correctible but the forefoot is not
Stage 3 Flatfoot deformity which is not correctible
Stage 4 Flatfoot deformity with talar tilt in the ankle mortise on standing radiography
Treatment
Non-surgical treatment
Often recommended for all patients before considering surgery
Orthotics
- A UCBL brace is the orthotic of choice for a flexible flatfoot (up to Truro Stage 2b); this has been shown to restore the foot anatomy in cadaver models
- Rigid bracing may be the only remaining option in patients who are not surgical candidates
Physiotherapy
- Aims to strengthen specific muscle groups and improve gait kinematics
- Works well in Grade I and IIa in combination with appropriate orthotics
Surgical treatment
The classical treatment regime based on Johnson & Strom classification is as follows:
Stage I: TP debridement, synovectomy and repair of tears
Stage IIA: Medialising calcaneal osteotomy + FDL transfer (Fig 9,10)
Stage IIB: Medialising calcaneal osteotomy + FDL transfer OR subtalar / double / triple fusion
Stage III: Double / triple fusion (if significant hind/forefoot malalignment) (Fig 11)
Stage IV: Extended hindfoot fusion (pan-talar or tibiotalocalcaneal); or may consider TAR above triple once alignment corrected
However, many controversies surround this approach.
Firstly, Stage II is a heterogenous group with varying degrees of severity of deformity and forefoot flexibility; surgical strategy needs to be tailored to each patient.
In Stage III, there is increasing evidence that a selective fusion may be preferable in certain patients as it preserves some movement, thereby protecting the ankle and midfoot joints from OA. This targets the affected joints only and include single, double (TNJ and CCJ) or modified double (TNJ and subtalar) fusions.

Figure 9: FDL transfer into navicular bone after tibialis posterior debridement

Figure 10a: Intra-op images (of Figure 7) showing calcaneal shift and correction of alignment

Figure 10b: Post-op standing radiographs (of Figure 7) showing restored talar head coverage and Meary’s angle

Figure 11: Double arthrodesis: talonavicular and subtalar joints fusion through a single medial approach
Depending on the subtype in Stage II disease, the following may be included:
- Medial cuneiform osteotomy: for non-correctable forefoot supination (varus)
- Naviculo-cuneiform or 1st TMT fusion: for OA and/or for non-correctable forefoot supination (varus)
- Talonavicular joint fusion: for severe deformity centred around TNJ and/or unstable/ arthritic TNJ
- Lateral column lengthening: to correct forefoot abduction and improve correction of hindfoot valgus. Can be done in conjunction with a medial procedure

Figure 12: Algorithm for treatment of a symptomatic acquired flexible flat foot (Coetzee and Seybold)
Adjunctive procedures
- gastro-soleus lengthening
- spring ligament reconstruction at the time of a FDL transfer
- augmentation with artificial ligament or suture tape / anchors
- arthroereisis screw (temporary or permanent)
Summary
- Adult acquired flatfoot is closely linked to tibialis posterior tendon dysfunction
- The treatment is guided by the modified Johnson & Strom classification
- An initial trial of non-surgical treatment with orthotics and physiotherapy is recommended
- Adjunctive procedures are often required, such as gastro-soleus lengthening and spring ligament reconstruction
- In more advanced stages, and when arthritis is present, fusion procedures may be required
- Careful patient selective and surgical planning is key to achieving the desired result
References
Chadwick C, Whitehouse, SL, Saxby TS. Long-term follow-up of flexor digitorum longus transfer and calcaneal osteotomy for stage II posterior tibial tendon dysfunction. Bone Joint J, 97-B, 346-52 2015
Imhauser CW, Abidi NA, Frankel DZ, Gavin K, Siegler S. Biomechanical evaluation of the efficacy of external stabilizers in the conservative treatment of acquired flatfoot deformity. Foot Ankle Int, 23, 727-37 2002
Johnson KA, Strom DE. Tibialis posterior tendon dysfunction. Clin Orthop Relat Res, 196-206 1989
Klerken T, Kosse NM, Aarts CAM, Louwerens JWK. Long-term results after triple arthrodesis: Influence of alignment on ankle osteoarthritis and clinical outcome. Foot Ankle Surg, 25, 247-250 2019
Myerson MS, Thordarson DB, Johnson JE, Hintermann B, Sangeorzan BJ, Deland JT, Schon LC, Ellis SJ, De Cesar Netto C. Classification and nomenclature: progressive collapsing foot deformity. Foot Ankle Int 41, 1271-1276 2020
Parsons S, Naim S, Richards PJ, McBride D. Correction and prevention of deformity in type II tibialis posterior dysfunction. Clin Orthop Relat Res 468, 1025-32 2010
Pell RFT, Myerson MS, Schon LC. Clinical outcome after primary triple arthrodesis. J Bone Joint Surg Am 2, 47-57 2000