Stress Fractures in the Foot
Introduction
Stress fractures are the result of microscopic injuries following repeated submaximal trauma. They account for about 10-30 % of all sports injuries and, of these, about 32 % are in the foot with 80-90 % in the second and third metatarsals. The fifth metatarsal, followed by the navicular, calcaneum, sesamoids and talus are the other common stress fracture sites in athletes.
Risk factors
- Repetitive stressful activities like running, jumping, marching, acrobatics or dancing
- A specific "female athlete triad" (with risk up to 50%) includes:
- amenorrhea
- low bone mineral density
- dietary restraint
- Clinicians should have a low threshold for further investigations
- Delay in diagnosis may contribute to non-unions
Stress fractures in the neuropathic foot may lead to sequential fractures of the metatarsal head / neck due to lack of proprioception; non-weight-bearing in a cast is key to manage these fractures.
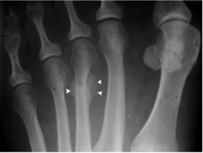
Second (and third) metatarsal
- 2nd and 3rd rays are stiffer therefore sustain ~90% of metatarsal stress fractures
- 75% at head / neck junction; usually heal well
- Proximal fractures seen in ballet dancers or those with TNJ fusions; more prone to non-union
Diagnosis
- Often difficult to see on initial X rays but apparent later
- Consider ultrasound or MRI (expensive) if likely to affect management

Treatment
- Non-operative management: shoe/boot/cast will suffice for the majority
- Operative management: consider for proximal fractures or painful non-union (delayed presentation)

Fifth metatarsal
- Symptoms / signs:
- Chronic lateral foot pain
- Tenderness over the base of the 5th MT exacerbated by inversion
- Risk factors:
- Cavo-varus foot and a protruding 5th metatarsal head
Diagnosis
Oblique x-ray / MRI
Torg classification:
- fresh fracture
- delayed non-union with widening of the fracture line and periosteal reaction and/or sclerosis
- established non-union with complete sclerosis of the medullary canal
*awaiting image upload*
Treatment
Non-operative management
- Mainstay of treatment
- Check and treat Vitamin D levels
Operative management
- Indications:
- Torg II / III
- Fracture gap >2mm
- Athletes needing early return to sport
- Open reduction:
- intramedullary fixation with a 4.5-6.5mm size screw depending on the canal size
- tension band wiring is a suitable alternative
- bone grafting may be helpful
- Appreciate need for cavo-varus correction; this alone may be curative
- Check and treat Vitamin D levels
- Electro-shock wave therapy has shown some positive results
Navicular
- 2nd most common site in the foot
- Presents with activity-related dorsal pain which improves with rest
- Clinician awareness is key to diagnosis
Diagnosis
- Often missed on X rays
- CT scans or MRI usually required and diagnostic
Treatment
- 96% healing at 5 weeks with strict non-weight-bearing cast immobilisation (Torg)
- Partial weight-bearing may lead to displacement and non-union
- Failure of conservative management may warrant ORIF +/- bone graft
- Operative intervention has not shown earlier return to sports
*awaiting image upload*
MCQ
Which of these is not an indication for operative intervention for a stress fracture of the base of 5th metatarsal:
- Torg type II or III
- Gap more than 2 mm
- Protruding 5th metatarsal head
- Athletes wanting to go back to sports early
Ballet dancers are predisposed to which particular stress fracture:
- Base of 5th metatarsal
- Navicular
- Distal 2nd metatarsal
- Proximal 2nd metatarsal
References
Welck MJ, Hayes T, Pastides P, Khan W, Rudge B. Stress fractures of the foot and ankle. Injury. 2017 Aug;48(8):1722-1726. doi: 10.1016/j.injury.2015.06.015. Epub 2015 Sep 15. PMID: 26412591
Lee KT, Park YU, Jegal H, Kim KC, Young KW, Kim JS. Factors associated with recurrent fifth metatarsal stress fracture. Foot Ankle Int. 2013 Dec;34(12):1645-53. doi: 10.1177/1071100713507903. Epub 2013 Nov 11. PMID: 24216284
Torg JS. Fractures of the base of the fifth metatarsal distal to the tuberosity. Orthopedics. 1990 Jul;13(7):731-7. PMID: 2197611
Tenforde AS, Sayres LC, Sainani KL, Fredericson M. Evaluating the relationship of calcium and vitamin D in the prevention of stress fracture injuries in the young athlete: a review of the literature. PM R. 2010 Oct;2(10):945-9. doi: 10.1016/j.pmrj.2010.05.006. PMID: 20970764